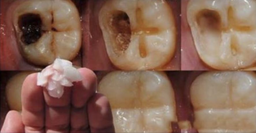
Ningún Dentista va hablar de esto Elimina las caries de forma natural y económica
Pensar en una visita al odontólogo siempre ha causado temor a cualquier persona. Dicho miedo se fundamenta en dos razones: la posibilidad de sentir dolor para el paciente y lo costoso que puede llegar a ser dicha visita. Independientemente de si se trata de un procedimiento sencillo o algo más profundo, la verdad es que ir al odontólogo es de las experiencias más desagradables para cualquier ser humano.
Por esa razón, en este artículo te planteamos un método sencillo de cuidar tu dentadura y eliminar las caries sin tener que pasar por toda esta situación. Ningún Dentista va hablar de esto Elimina las caries de forma natural y económica No tienes que comprar todas esas pastas dentales caras o cualquier otro medicamento que puede hacer daño a tu bolsillo, pues atiende a tus necesidades bucales desde una perspectiva natural. 
La magia del aceite de coco para la higiene bucal: La verdad es que para complementar el bienestar de tus dientes no necesitas ir mas allá de lo que ya tienes en casa. No recurras a químicos de procedencia dudosa y de precios exuberantes, con aplicar aceite de coco a tus dientes de forma regular puedes prevenir las patologías dentales en su mayoría.
Aceite de coco para la higiene bucal desde una perspectiva científica: Diferentes estudios agregaron diversas especies de aceite de coco como un producto potencial a la hora del cuidado bucal. Muchas personas no saben que gran cantidad de famosos utilizan este suplemento para cuidar su sonrisa y lucir increíbles frente a la gran pantalla.
Reto de la Dieta de los 10 Días para desintoxicar tu organismo!! El secreto para que esta técnica funcione es abrir la boca, poner dos cucharadas de aceite de coco dentro y moverlo alrededor de la boca con la lengua hasta que se ponga liquido al combinarse con la saliva. Realice este proceso durante 20 minutos como mínimo, de manera que la sustancia abarque toda a boca y se cumpla el tratamiento.


